北九州市小倉北区の小児歯科なら

〒802-0062 福岡県北九州市小倉北区片野新町1丁目12-25
JR線「城野駅」より徒歩8分/モノレール「片野駅」より徒歩8分 西鉄バス「城野四つ角」停留所より徒歩2分

診療時間
9:00~12:00 ×
14:00~18:00 ×

△:13:30~17:30 休診日:水曜・日曜(第1、3、4)・祝日
※第2日曜 9:00~14:00で診療を行っております。
(学会・セミナーなどにより変更になる場合がございます)

小児歯科ってどんなとこ

小児科と同じように、子どもたちのための歯医者さんです。
当小児歯科ではお子さんのお口の健康を守るために予防や保健指導、治療を行っています。
小児歯科専門の知識と技術を持ったスタッフと設備で対応しています。

小児歯科受診を考えている皆様方へ

日本小児歯科学会認定「小児歯科専門医」のご案内

お子さんにとってはじめての歯医者さんは、お子様の口の健康を一生左右すると言っても過言ではありません。そのためには、子どものお口のことを良く知っている先生に診てもらうことが大切です。そこで、日本小児歯科学会では、専門医制度を設けております。

日本小児歯科学会認定「小児歯科専門医」は、厚生労働省の認可を受けた、小児歯科に関する専門的知識並びに治療技術を有する歯科医師です。

~日本小児歯科学会のページより抜粋~

 保護者の方へお願い  

  • 1
    幼児の治療は体調の良い午前中に受診することをおすすめします。夕方になると疲れて機嫌が悪くなることが多くなります。
  • 嘘をついて連れてこないようにして下さい。後日の嫌がる原因になります。上手に治療ができた後は、よく褒めてあげて下さい。
  • 幼児は歯科治療で嫌がって泣いたり暴れたりすることもあります。汗をかいた時のために下着などの着替えの用意をお願いいたします。
  • 待合室ではなるべくリラックスさせるように保護者の方が本を読んで聴かせたり、おもちゃで遊ばせてあげて下さい。
  • トイレは治療室に入る前に済ませておいてください。

健康なお口のために

乳歯がはえはじめるこのころから予防を
してきれいな永久歯にしましょうね。

当医院ではむし歯予防やきれいな歯並びのために乳歯が生える前から永久歯が生えそろうまでお子様の成長に合わせたお口の健康管理を行っています。

おいしく食べられるように乳歯が生える前から永久歯がきれいに生えそろう高校卒業まで定期健診で健康なお口を維持しましょう。

私たちスタッフ一同お口の健康管理を通して、子どもたちが健康で元気に育つように、お手伝いできればと願っています。

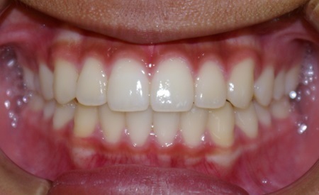
きれいな歯で成人式を!

成人式をこんなきれいな歯で迎えられる
よう一緒に頑張っていきましょう。

0歳から高校卒業まで定期健診で予防を行っている子どもたちは写真のようにきれいで健康な歯を維持している子がたくさんいます。ぜひ、皆さんも健康なお口を一緒に育てて行きましょう。

予防のために

予防には保護者の方の健康に対する正しい知識と定期管理が大切になってきます。

成長発育過程にある子供たちはそれぞれの時期によって注意していただきたいことが少しずつ異なっているため、各年齢時期にあった指導を行っています。

パソコン|モバイル
ページトップに戻る