北九州市小倉北区の小児歯科なら

〒802-0062 福岡県北九州市小倉北区片野新町1丁目12-25
JR線「城野駅」より徒歩8分/モノレール「片野駅」より徒歩8分 西鉄バス「城野四つ角」停留所より徒歩2分

診療時間
9:00~12:00 ×
14:00~18:00 ×

△:13:30~17:30 休診日:水曜・日曜(第1、3、4)・祝日
※第2日曜 9:00~14:00で診療を行っております。
(学会・セミナーなどにより変更になる場合がございます)

当院の歯並び治療

日本小児歯科学会認定 小児歯科専門医と矯正医が治療を担当

大学病院矯正科所属である、日本矯正歯科学会認定医を日曜診療日に招へいしております。

子供さんのお口や歯は大人と違って成長過程にあるため、今後の成長や将来までを見据えた治療が必要です。また治療の際には、子供さんの心理面への配慮も欠かせません。一人ひとりの発育段階を考慮して進めていくことが重要です。

日本小児歯科学会認定 小児歯科専門医と日本矯正歯科学会認定医がタッグを組んで歯並びに関するお悩みを解決していきます。子供さんのお口や歯並びについて気になることがありましたら、お気軽にご相談ください。

小児矯正について

子供と大人の大きな違いは「成長」する力です。子どもの時期から矯正をするメリットは、歯の土台となる骨の成長する力を利用することが可能となります。早期治療により治療法の選択肢増加やより良い治療の仕上がりにつながります。

ただし、すべての子供さんが早めに始めるといい!とは限りません。成長やあとからはえてくる歯によって後戻りや別のトラブルが起きることがあります。そういった問題はお子様の治療期間の延長や費用の負担が増えてしまいます。

当院では、お子様の治療期間や負担が最小限になるように適切な時期に適切な治療をご提案させて頂きます。

もちろん中には早期に歯並び治療を開始したほうが良い症例もありますので、お気軽にご相談下さい。

検査

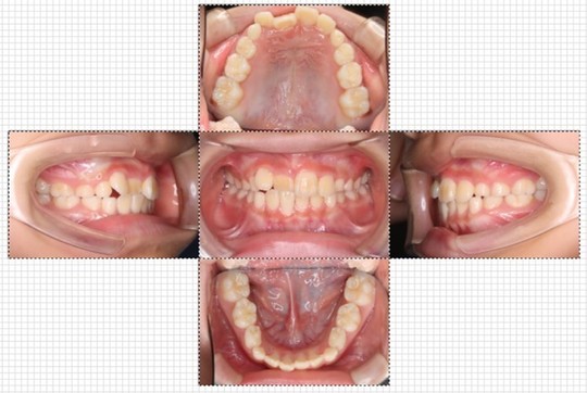
顔貌・口腔内写真

現在のお口を歯並びやかみ合わせ、唇や舌、すじ等の軟組織の状態を確認します。

印象採得(歯型分析)

歯型をとり、石膏模型を作ります。全ての歯の大きさや歯槽骨(歯の土台)の幅を計測します。

レントゲン写真

レントゲン写真をもとに、歯の数の過不足を確認します。また上下の顎の位置関係や歯の角度などをソフトを使って解析します。

治療の時期

0期治療(乳歯列期)

口を閉じる・ベロを正しい位置におくことを身に着け、正しいお口の成長を促します。それに伴って歯並びの改善を期待します。

1期治療(混合歯列期)

成長を妨げている歯の傾きや癖を改善します。成長の力を利用しあごを広げて、きれいな歯並びになるよう誘導します。また、2期治療での治療を円滑にすすめるために1期治療からスタートすることもあります。

2期治療(永久歯列期)

ワイヤーとブラケットを用いてそれぞれの歯を理想的な位置へ並べ、角度をつけることでかみ合わせ・見た目を改善します。

当院は目立ちにくいクリアブラケットを用いています。

矯正治療の流れ

ご相談

歯並びや噛み合わせについて、気になることは何でもご相談ください。矯正治療について大まかな説明をいたします。

検査

お顔立ちやお口の写真、歯型の採取、レントゲン撮影、噛み合わせの確認など、診断のための検査を行います。

治療計画の説明

検査結果をご説明し、治療に用いる装置や期間、料金をご案内します。

治療・通院

治療計画にご納得いただけましたら、治療を開始します。

治療後の観察

歯並びが整ったら、保定装置(リテーナー)をつけていただきながら、経過観察を行います。

料金

初診料(相談料) 3,300円
再診料(調整料) 0期/1期治療:3,850円
2期治療:5,500円
検査・診断料 検査料:22,000円
診断料:11,000円
装置料 0期治療:55,000円
1期治療:242,000~440,000円
2期治療:715,000
1期治療から継続の2期治療:550,000円
インビザライン:858,000

保定装置:44,000
 
その他 抜歯(1本):8,800
*矯正のための抜歯は自費診療になります。
親知らずの抜歯は他院へご紹介させて頂くことがあります。

固定用インプラント(1本):22,000
パソコン|モバイル
ページトップに戻る